Decoding What Color Are Wisdom Teeth Stitches
Wisdom teeth stitches typically come in a variety of colors, but the most common one is white. This can sometimes create confusion or concern for those who are not sure what to expect. Whether you’re wondering about the color of your wisdom teeth stitches post-surgery or simply curious about the options available, understanding the significance of their color can provide valuable insights into your healing process. Let’s delve deeper into the topic to unravel the mystery behind what color are wisdom teeth stitches.
What Color Are Wisdom Teeth Stitches: A Comprehensive Guide
Introduction
Wisdom teeth removal can be a daunting experience, but understanding what to expect can help ease some of the anxiety. One common aspect of wisdom teeth extraction is the need for stitches to promote proper healing. One question that often arises is, “What color are wisdom teeth stitches?” In this in-depth guide, we will explore the various colors of wisdom teeth stitches and what they may indicate about the healing process.
Understanding Wisdom Teeth Stitches
To begin with, it’s important to understand why stitches are used after wisdom teeth removal. Stitches, also known as sutures, are used to close the incision site where the tooth was extracted. This helps in reducing bleeding, promoting faster healing, and minimizing the risk of infection.
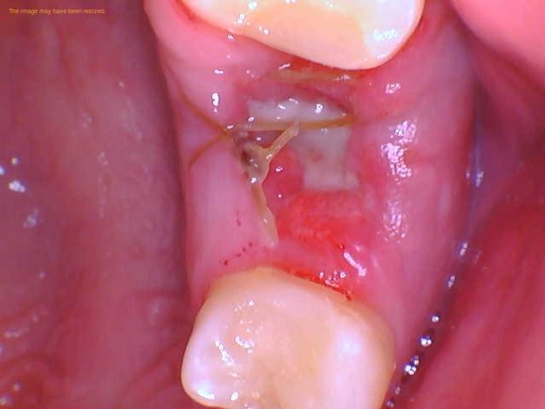
Types of Wisdom Teeth Stitches
Wisdom teeth stitches can be classified into two main categories: dissolvable stitches and non-dissolvable stitches. Dissolvable stitches, as the name suggests, are designed to dissolve on their own over time, typically within a week or two. Non-dissolvable stitches need to be removed by the dentist after a certain period, usually around one to two weeks post-surgery.
Colors of Wisdom Teeth Stitches
The color of wisdom teeth stitches can vary depending on the type of material used and the stage of the healing process.
White Stitches
White stitches are commonly used in dental procedures. They are often made of materials like nylon or silk. White stitches are more discreet and blend in with the natural color of the gums, making them less noticeable.
Black Stitches
Black stitches are less common but may be used for specific cases where visibility and contrast are necessary. These stitches are typically non-dissolvable and are more visible against the pink color of the gums.
Yellow Stitches
Yellow stitches can sometimes indicate the presence of infection. If you notice yellow discoloration around the stitches, it’s important to contact your dentist immediately for further evaluation.
Red Stitches
Red stitches can be a sign of inflammation or irritation at the incision site. This could be due to poor oral hygiene or an underlying infection. If you notice redness around the stitches that does not improve, consult your dentist for advice.
Blue Stitches
Blue stitches are less common in dental procedures but may be used for certain cases. They are typically non-dissolvable and provide a high level of visibility during the healing process.
Signs of Infection
While the color of wisdom teeth stitches can offer some insight into the healing process, it’s essential to be aware of signs of infection that may require immediate attention.
Swelling
Swelling around the extraction site that increases over time may indicate an infection. It’s normal to experience some swelling in the days following surgery, but if it worsens or is accompanied by severe pain, contact your dentist.
Pus Discharge
The presence of pus around the stitches is a clear sign of infection. Pus is a thick, yellowish fluid that indicates the body’s immune response to bacteria. If you notice pus discharge, seek prompt treatment from your dentist.
Increased Pain
While some discomfort is normal after wisdom teeth removal, a sudden increase in pain, especially around the stitches, could indicate an underlying issue. Persistent and severe pain should not be ignored.
Bad Breath or Taste
An unpleasant taste or odor in your mouth could be a sign of infection. Bacteria buildup around the stitches can cause bad breath or a foul taste. Maintaining good oral hygiene is crucial to prevent infections.
Proper Care for Wisdom Teeth Stitches
Taking care of your stitches is essential for promoting healing and preventing complications. Here are some tips to help you care for your wisdom teeth stitches:
Follow Your Dentist’s Instructions
Your dentist will provide you with specific post-operative care instructions, including how to care for your stitches. Follow these instructions carefully to ensure proper healing.
Oral Hygiene
Maintain good oral hygiene by gently brushing your teeth twice a day and rinsing with a saltwater solution to keep the extraction site clean. Avoid brushing directly over the stitches to prevent irritation.
Avoid Certain Foods
Stick to soft and cool foods in the first few days after surgery to prevent damaging the stitches. Avoid hot, spicy, or crunchy foods that can irritate the extraction site.
Stay Hydrated
Drink plenty of water to stay hydrated and aid in the healing process. Avoid using straws, as the suction motion can dislodge the stitches.
Attend Follow-Up Appointments
Follow up with your dentist for scheduled appointments to monitor the healing progress. Your dentist will assess the stitches and ensure that everything is healing properly.
In conclusion, the color of wisdom teeth stitches can vary depending on the material used and the healing process. While different colors may indicate normal healing or potential issues like infection, it’s essential to monitor your stitches closely and seek professional care if you notice any concerning signs. By understanding what to expect and how to care for your stitches, you can promote a smooth recovery after wisdom teeth removal. Remember to follow your dentist’s advice and prioritize your oral health during the healing period.
Wisdom Teeth: See Why and How They're Removed #wisdomteeth #teeth #oralhealth
Frequently Asked Questions
What color are wisdom teeth stitches typically?
Wisdom teeth stitches can vary in color depending on the type of material used. Commonly, dissolvable stitches are off-white or clear in color, blending with the natural color of the gums. Non-dissolvable stitches may appear darker, often black or blue, making them more visible during the healing process. It’s essential to consult with your dentist about the type of stitches used and their expected color.
Are wisdom teeth stitches supposed to change color during the healing process?
Yes, it is normal for wisdom teeth stitches to change color as the healing progresses. Initially, the stitches may appear white or clear, but as healing continues, they can darken or take on a yellowish hue due to exposure to food, drinks, and saliva. However, if you notice any signs of infection, such as excessive redness, swelling, or pus around the stitches, contact your dentist immediately for evaluation.
How long does it take for the wisdom teeth stitches to dissolve or fall out?
The time for wisdom teeth stitches to dissolve or fall out varies depending on the type of stitches used. Dissolvable stitches typically start to break down within a week or two after the dental procedure, gradually disappearing as the gums heal. Non-dissolvable stitches may need to be removed by your dentist, usually around 7-10 days post-surgery. It’s crucial to follow your dentist’s instructions regarding post-operative care to ensure proper healing and stitch removal.
Final Thoughts
Wisdom teeth stitches can come in different colors, including white, blue, or clear. The color of the stitches used typically depends on the material and visibility preference of the dentist. White or clear stitches are commonly chosen for their subtle appearance. Overall, the color of wisdom teeth stitches may vary but is often chosen for practical or aesthetic reasons. Next time you’re getting wisdom teeth removed, don’t forget to ask your dentist about what color are wisdom teeth stitches to expect.

